Home
Tentang Situs
Hubungi Saya
Lihat Testomoni
Header Ads
Home
Rumah Belajar
Bahan Ajar Biologi
_Kelas X Semester 1
_Kelas X Semester 2
_Kelas XI Semester 1
_Kelas XI Semester 2
_Kelas XII Semester 1
Bahan Ajar PKWU
_Kelas XII Semester 2
_Kelas X Semester 1
_Kelas X Semester 2
_Kelas XI Semester 1
_Kelas XI Semester 2
_Kelas XII Semester 1
_Kelas XII Semester 2
Referensi
_Buku Biologi
_Buku PKWU
Ujian Online
Cek Absen
Cek Kelompok
Home
/
Dokumentasi
/
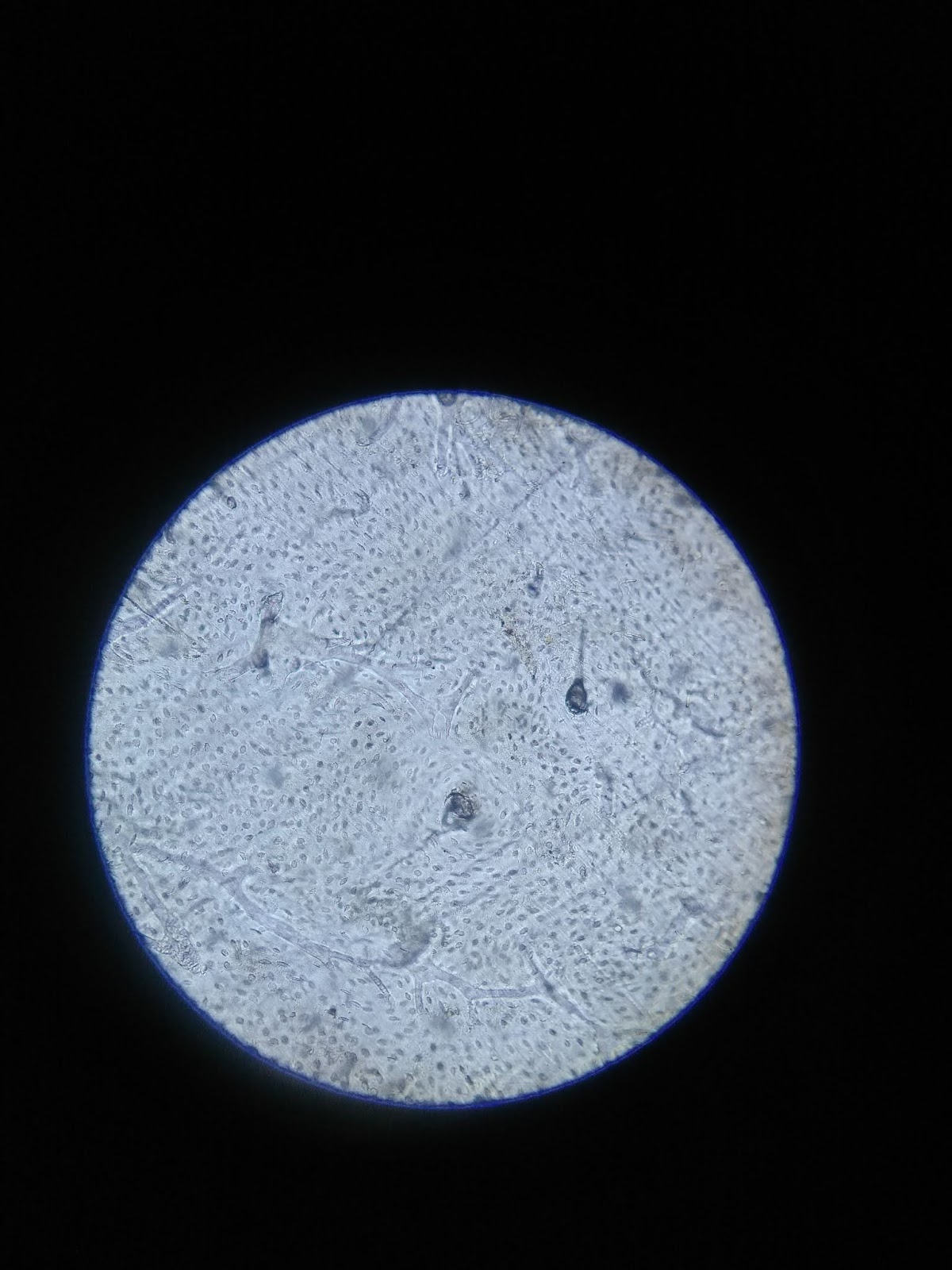
Praktikum Pengataman Jaringan Hewan
Praktikum Pengataman Jaringan Hewan
2:15 PM
Dokumentasi
Praktikum Pengataman Jaringan Hewan Kelas XI MIA 2
No comments
Subscribe to:
Post Comments ( Atom )
Ayo! Download Dan Instal Aplikasi Rumah Belajar Di Google Play Store
Ikuti Official Youtube Chanel Irfan Dani, S.Pd.,Gr.
Jangan lupa Subscribenya Ya!:
Fitur-Fitur Rumah Belajar
New Sijempol Aceh
Vicon by:
MEMBER KELAS BIOLOGI
Powered by
Blogger
.
Post a Comment